COCAÏNEHANDEL EN RITUELE BADEN ONTMASKERD IN LE MANS RECHTSZAAK
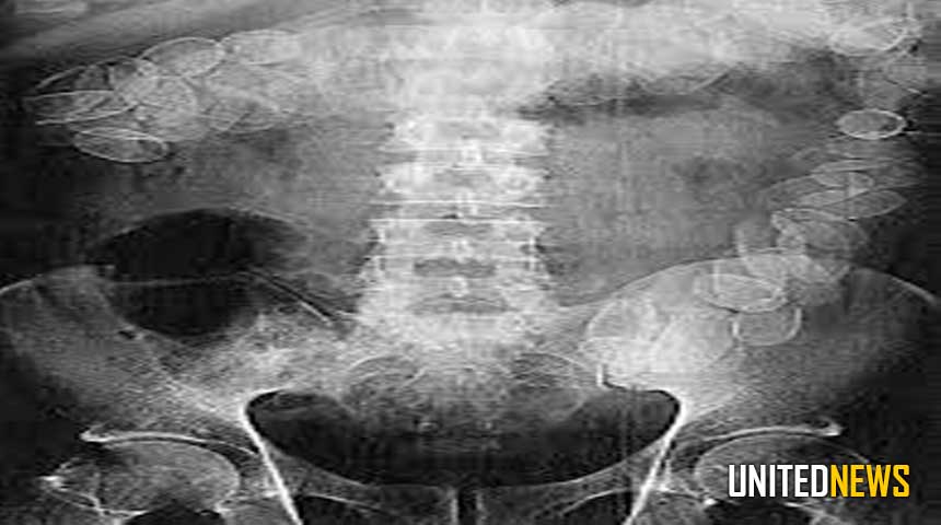
Foto: Een Röntgen foto van een cocaïnesmokkelaar met bolletjes op zijn maag.
In een spraakmakende rechtszaak genaamd “Taki 72” bij de strafrechtbank van Le Mans werden 15 personen berecht voor hun rol in de handel in cocaïne tussen Suriname en het vasteland van Frankrijk, via Frans-Guyana.
Tijdens deze buitengewone hoorzitting werden verontrustende details onthuld over de methoden die de verdachten gebruikten, met een bijzondere focus op de rol van een vrouw die fungeerde als ‘manager’ voor een aanzienlijk aantal bolletjesslikkers, waaronder ook kinderen.
De beschuldigden legden niet alleen de verantwoordelijkheid voor drugstransporten bij deze ‘muilezels’, maar eisten ook de uitvoering van rituele baden. Deze baden, met kosten variërend tussen de 300 en 400 euro, waren bedoeld om ervoor te zorgen dat de drugstransporten soepel verliepen, de drugs veilig op hun bestemming aankwamen, en de smokkelaars beschermd zouden zijn tegen douanecontroles en politieonderzoeken.
Tijdens de hoorzitting werd duidelijk dat een van de ‘muilezels’ openlijk twijfelde aan de effectiviteit van deze rituele baden. Ze verklaarde: “Het zijn de bazen die zeggen dat deze rituele baden effectief zijn, niet ik. Het is niet waar, het is met Gods hulp dat we erdoorheen komen.”
Opmerkelijk was het tragische lot van een specifieke ‘muilezel’, bekend als ‘Tacos’, die tijdens het proces ter sprake kwam. Deze jongeman overleed aan een overdosis, wat het startpunt van het onderzoek markeerde. Na verschillende reizen en herhaalde rituele baden werd hij op 2 oktober 2021 op de luchthaven Orly gearresteerd, waarbij 1.242 gram 91% pure cocaïne in zijn lichaam werd aangetroffen.
Of zijn arrestatie het gevolg was van de vermeende ineffectiviteit van het rituele bad of eerder als een goddelijke sanctie, blijft onduidelijk. Wat wel duidelijk wordt, is dat deze zaak niet alleen de duistere wereld van de drugshandel belicht, maar ook de kwetsbaarheid en wanhoop van degenen die worden ingezet als ‘muilezels’ in deze gevaarlijke criminele onderneming. De strafrechtbank zal nu verder oordelen over de schuld en straffen van de betrokkenen in deze schokkende zaak.
UNITEDNEWS
